
By Staff
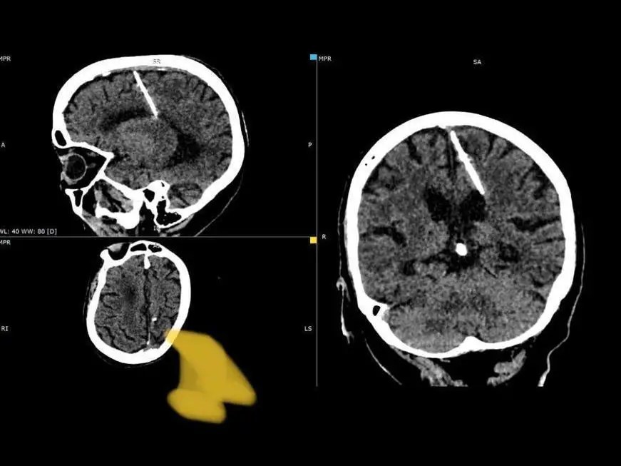
During a startling revelation, doctors in Russia’s far east discovered a 3 cm-long needle embedded in the brain of an 80-year-old woman during a routine CT scan. The medical team believes the needle has been lodged in her brain since birth and suggests a distressing history of infanticide during the Second World War due to times of famine and financial unstableness in Russia. An infanticide is the act of killing an infant, typically within the first year of life.
Food shortages were rampant in the Soviet Union during the war, and impoverished families resorted to such measures. Remarkably, the woman survived, and despite the needle in her brain, she had never complained of headaches and was not deemed to be in immediate danger. Medical experts have opted to monitor her condition, refraining from attempting needle removal due to concerns about potential worsening of her health.